|
efflux (microbiology)
All microorganisms, with a few exceptions, have highly conserved DNA sequences in their genome that are transcribed and translated to efflux pumps. Efflux pumps are capable of moving a variety of different toxic compounds out of cells, such as antibiotics, heavy metals, organic pollutants, plant-produced compounds, quorum sensing signals, bacterial metabolites and neurotransmitters via active efflux, which is vital part for xenobiotic metabolism. This active efflux mechanism is responsible for various types of resistance to bacterial pathogens within bacterial species - the most concerning being antibiotic resistance because microorganisms can have adapted efflux pumps to divert toxins out of the cytoplasm and into extracellular media.
Efflux systems function via an energy-dependent mechanism (active transport) to pump out unwanted toxic substances through specific efflux pumps. Some efflux systems are drug-specific, whereas others may accommodate multiple drugs with small multidrug resistance (SMR) transporters.
Efflux pumps are proteinaceous transporters localized in the cytoplasmic membrane of all kinds of cells. They are active transporters, meaning that they require a source of chemical energy to perform their function. Some are primary active transporters utilizing adenosine triphosphate hydrolysis as a source of energy, whereas others are secondary active transporters (uniporters, symporters, or antiporters) in which transport is coupled to an electrochemical potential difference created by pumping hydrogen or sodium ions into the cell. (W)

Protein TolC, the outer membrane component of a tripartite efflux pump in Escherichia coli. |
|

AcrB, the other component of pump, Escherichia coli. |
|
|
|
|
embryo
An embryo is the early stage of development of a multicellular organism. In general, in organisms that reproduce sexually, embryonic development is the part of the life cycle that begins just after fertilization and continues through the formation of body structures, such as tissues and organs. Each embryo starts development as a zygote, a single cell resulting from the fusion of gametes (i.e. fertilization of a female egg cell by a male sperm cell). In the first stages of embryonic development, a single-celled zygote undergoes many rapid cell divisions, called cleavage, to form a blastula, which looks similar to a ball of cells. Next, the cells in a blastula-stage embryo start rearranging themselves into layers in a process called gastrulation. These layers will each give rise to different parts of the developing multicellular organism, such as the nervous system, connective tissue, and organs.
A newly developing human is typically referred to as an embryo until the ninth week after conception, when it is then referred to as a fetus. In other multicellular organisms, the word “embryo” can be used more broadly to any early developmental or life cycle stage prior to birth or hatching. (W)
|
|
|
emergence
In philosophy, systems theory, science, and art, emergence occurs when an entity is observed to have properties its parts do not have on their own. These properties or behaviors emerge only when the parts interact in a wider whole. For example, smooth forward motion emerges when a bicycle and its rider interoperate, but neither part can produce the behavior on their own.
Emergence plays a central role in theories of integrative levels and of complex systems. For instance, the phenomenon of life as studied in biology is an emergent property of chemistry, and psychological phenomena emerge from the neurobiological phenomena of living things.
In philosophy, theories that emphasize emergent properties have been called emergentism. Almost all accounts of emergentism include a form of epistemic or ontological irreducibility to the lower levels. (w)
|
|
|
emergent evolution
Emergent evolution was the hypothesis that, in the course of evolution, some entirely new properties, such as mind and consciousness, appear at certain critical points, usually because of an unpredictable rearrangement of the already existing entities. The term was originated by the psychologist C. Lloyd Morgan in 1922 in his Gifford Lectures at St. Andrews, which would later be published as the 1923 book Emergent Evolution.
The hypothesis was widely criticized for providing no mechanism to how entirely new properties emerge, and for its historical roots in teleology. (w) |
|
|
emergentism
In philosophy, emergentism is the belief in emergence, particularly as it involves consciousness and the philosophy of mind, and as it contrasts with and also does not contrast with reductionism. A property of a system is said to be emergent if it is a new outcome of some other properties of the system and their interaction, while it is itself different from them. Emergent properties are not identical with, reducible to, or deducible from the other properties. The different ways in which this independence requirement can be satisfied lead to variant types of emergence. (W) |
|
|
emperipolesis
Emperipolesis is the presence of an intact cell within the cytoplasm of another cell. It is derived from Greek (en is inside, peripoleomai is go round). Emperipolesis is an uncommon biological process, and can be physiological or pathological.
It is related to peripolesis, which is the attachment of one cell to another.
Emperipolesis is unlike phagocytosis, in which the engulfed cell is killed by the lysosomal enzymes of the macrophage. Instead, the engulfed cell remains viable within the other, and can exit at any time without causing structural or functional abnormalities in either cell. (W)

Emperipolesis: a band neutrophil inside a megakaryocyte (Wright-Giemsa, 100x, oil). |
|

Emperipolesis in Rosai-Dorfman disease highlighted by S-100 staining.
LYMPH NODES-SPLEEN: ROSAI-DORFMAN DISEASE: EXTRANODAL These large histiocytes staining strongly for S-100 protein clearly show the presence of lymphocytes within cytoplasmic vacuoles. |
|

Emperipolesis: Megakaryocyte containing a segmented neutrophil, stained with a May-Grünwald Giemsa stain.
Megakaryocyte containing a segmented neutrophil. Image taken from a bone marrow aspirate slide, stained with a May-Grünwald Giemsa stain. |
|
|
|
|
endocytosis
Endocytosis is a cellular process in which substances are brought into the cell. The material to be internalized is surrounded by an area of cell membrane, which then buds off inside the cell to form a vesicle containing the ingested material. Endocytosis includes pinocytosis (cell drinking) and phagocytosis (cell eating). It is a form of active transport. (W)

The different types of endocytosis.
Endocytosis is a process whereby cells absorb material (molecules such as proteins) from the outside by engulfing it with their cell membrane. It is used by all cells of the body because most substances important to them are polar and consist of big molecules, and thus cannot pass through the hydrophobic plasma membrane. |
|

From L to R: Phagocytosis, Pinocytosis, Receptor-mediated endocytosis. |
|
|
|
|
endomembrane system
The endomembrane system is composed of the different membranes that are suspended in the cytoplasm within a eukaryotic cell. These membranes divide the cell into functional and structural compartments, or organelles. In eukaryotes the organelles of the endomembrane system include: the nuclear membrane, the endoplasmic reticulum, the Golgi apparatus, lysosomes, vesicles, endosomes, and plasma (cell) membrane among others. The system is defined more accurately as the set of membranes that form a single functional and developmental unit, either being connected directly, or exchanging material through vesicle transport. Importantly, the endomembrane system does not include the membranes of chloroplasts or mitochondria, but might have evolved from the latter (see below: Evolution). (W)

Detail of the endomembrane system and its components. |
|

1 Nucleus 2 Nuclear pore 3 Rough endoplasmic reticulum (RER) 4 Smooth endoplasmic reticulum (SER) 5 Ribosome on the rough ER 6 Proteins that are transported 7 Transport vesicle 8 Golgi apparatus 9 Cis face of the Golgi apparatus 10 Trans face of the Golgi apparatus 11 Cisternae of the Golgi apparatus. |
|

Detailed illustration of the plasma membrane. Including the structure of a phospholipid. |
|
| |
|
Endomembran Dizgenin örgenelleri arasındaki ilişki
Membran lipid ve proteinlerin çeşitli örgeneller yoluyla akışı.
Membran ERdan Golgiye ve sonra başka bir yere devinirken, içeriğinin yanısıra moleküler bileşimi
ve metabolik işlevleri de değişkiye uğrar.
🔎
|
|
|
|
|
|
endocrine system
The endocrine system is a chemical messenger system comprising feedback loops of the hormones released by internal glands of an organism directly into the circulatory system, regulating distant target organs. In humans, the major endocrine glands are the thyroid gland and the adrenal glands. In vertebrates, the hypothalamus is the neural control center for all endocrine systems. The study of the endocrine system and its disorders is known as endocrinology. Endocrinology is a branch of internal medicine.
A number of glands that signal each other in sequence are usually referred to as an axis, such as the hypothalamic-pituitary-adrenal axis. In addition to the specialized endocrine organs mentioned above, many other organs that are part of other body systems have secondary endocrine functions, including bone, kidneys, liver, heart and gonads. For example, the kidney secretes the endocrine hormone erythropoietin. Hormones can be amino acid complexes, steroids, eicosanoids, leukotrienes, or prostaglandins. (W)

Text____. |
|
|
|
|
endoplasmic reticulum
The endoplasmic reticulum (ER) is a type of organelle made up of two subunits – rough endoplasmic reticulum (RER), and smooth endoplasmic reticulum (SER). The endoplasmic reticulum is found in most eukaryotic cells and forms an interconnected network of flattened, membrane-enclosed sacs known as cisternae (in the RER), and tubular structures in the SER. The membranes of the ER are continuous with the outer nuclear membrane. The endoplasmic reticulum is not found in red blood cells, or spermatozoa. (W)

1 Nucleus 2 Nuclear pore 3 Rough endoplasmic reticulum (RER) 4 Smooth endoplasmic reticulum (SER) 5 Ribosome on the rough ER 6 Proteins that are transported 7 Transport vesicle 8 Golgi apparatus 9 Cis face of the Golgi apparatus 10 Trans face of the Golgi apparatus 11 Cisternae of the Golgi apparatus. |
|

3D rendering of endoplasmic reticulum. |
|
|
|
|
endosome
Endosomes are a collection of intracellular sorting organelles in eukaryotic cells. They are part of endocytic membrane transport pathway originating from the trans Golgi network. Molecules or ligands internalized from the plasma membrane can follow this pathway all the way to lysosomes for degradation or can be recycled back to the cell membrane in the endocytic cycle. Molecules are also transported to endosomes from the trans Golgi network and either continue to lysosomes or recycle back to the Golgi apparatus.
Endosomes can be classified as early, sorting, or late depending on their stage post internalization. Endosomes represent a major sorting compartment of the endomembrane system in cells.(W)

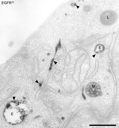
Electron micrograph of endosomes in human HeLa cells. Early endosomes (E - labeled for EGFR, 5 minutes after internalisation, and transferrin), late endosomes/MVBs (M) and lysosomes (L) are visible. Bar, 500 nm.
Compartments of the endocytic pathway in HeLa cells. Early endosomes (E), late endosomes/MVBs (M), and lysosomes (L) are visible. Epidermal growth factor receptors (EGFR) and transferrin (Tf) are labelled in the early endosomes. Epidermal growth factor receptors are labelled with an antibody conjugated to 10 nm gold, applied to the cell surface. The cells were stimulated with EGF and allowed to internalize the receptors, bringing the gold with them. The image was taken 5 minutes after internalization, at which point most of the EGFR-gold has reached early endosomes (black dots, marked by arrowheads), but has not yet entered late endosomes or lysosomes. The cells are also loaded with transferrin conjugated to horseradish peroxidase (TfHRP). The HRP catalyses a reaction in the presence of DAB that produces a dark stain in the transferrin containing compartments in the image. HeLa cells were preincubated for 1 h in serum-free medium. For the final 30 minutes the cells were incubated with TfHRP. The cells were then incubated with EGF and anti-EGFR 10 nm gold-conjugated antibody for 30 minutes at 4°C, washed, and incubated at 37°C for a further 5 minutes, all in the presence of TfHRP. Arrowheads; anti-EGFR 10 nm gold. Dark content; cross linked TfHRP. Bar, 500 nm. Philips EM400 TEM Methods for cell fixation and preparation for electron microscopy can be found in the reference below. Briefly, cells were room temperature fixed, a DAB reaction was done, and the cells were osmium stained, dehydrated and embedded en face in epon. Related reference; Doyotte, A., Russell, M.R.G., Hopkins, C.R., Woodman, P.G. (2005) Depletion of TSG101 forms a mammalian ‘‘Class E’’ compartment: a multicisternal early endosome with multiple sorting defects. J. Cell Sci, 118:3003-3017. (W) |
|

Diagram of the pathways that intersect endosomes in the endocytic pathway of animal cells. Examples of molecules that follow some of the pathways are shown, including receptors for EGF, transferrin, and lysosomal hydrolases. Recycling endosomes, and compartments and pathways found in more specialized cells, are not shown..
The endocytic pathway in animal cells. Endocytosed molecules from the cell surface are internalized to early endosomes. These then develop into late endosomes/multivesicular bodies (MVBs) by maturation; recycling molecules are removed, pH is lowered, lumenal vesicles form, and RAB5 is replaced with RAB7, making them competent for fusion with lysosomes. Fusion creates a hybrid, from which a lysosome is reformed. Molecules recycling to the plasma membrane can traffic via recycling endosomes (not shown). Molecules are also transported to/from the Golgi. More complicated pathways exist in specialized cells. Transferrin and its receptor cycle between the plasma membrane and (mainly) early endosomes. Transferrin releases its iron in the acidic endosome. EGF receptors that are activated by binding EGF, are downregulated by degradation in lysosomes. EGF binding stimulates ubiquitination of EGFRs and this targets them to the lysosome lumen, via lumenal vesicles. Mannose-6-phosphate receptors cycle between the Golgi and endosomes, releasing their cargo due to the low pH of the endosomes. (W). |
|
|
|
|
epiboly
Epiboly describes one of the five major types of cell movements that occur in the Gastrulation stage of embryonic development of some organisms. Epibolic movement is the way in which a layer epithelial cells spreads. This can be achieved in multiple ways.
When undergoing epiboly, a monolayer of cells must undergo a physical change in shape in order to spread. Alternatively, multiple layers of cells can also undergo epiboly as the position of cells is changed or the cell layers undergo intercalation. While human embryos do not experience epiboly, this movement can be studied in sea urchins, tunicates, amphibians, and most commonly zebrafish. (W)

Epibolic movement of cells during gastrulation. |
|

schematic of Zebrafish epiboly. |
|

Cartoon of a 4-hour post fertilization zebrafish embryo, before the initiation of epiboly. |
|
|
|
|
epithelial polarity
Cell polarity is a fundamental feature of many types of cells. Epithelial cells are one example of a polarized cell type, featuring distinct 'apical', 'lateral' and 'basal' plasma membrane domains. Epithelial cells connect to one another via their lateral membranes to form epithelial sheets that line cavities and surfaces throughout the animal body. Each plasma membrane domain has a distinct protein composition, giving them distinct properties and allowing directional transport of molecules across the epithelial sheet. How epithelial cells generate and maintain polarity remains unclear, but certain molecules have been found to play a key role. (W) |
|
|
Escherichia coli
Escherichia coli, also known as E. coli is a Gram-negative, facultative anaerobic, rod-shaped, coliform bacterium of the genus Escherichia that is commonly found in the lower intestine of warm-blooded organisms (endotherms). Most E. coli strains are harmless, but some serotypes (EPEC, ETEC etc.) can cause serious food poisoning in their hosts, and are occasionally responsible for food contamination incidents that prompt product recalls. The harmless strains are part of the normal microbiota of the gut, and can benefit their hosts by producing vitamin K2, (which helps blood to clot) and preventing colonisation of the intestine with pathogenic bacteria, having a symbiotic relationship. E. coli is expelled into the environment within fecal matter. The bacterium grows massively in fresh fecal matter under aerobic conditions for 3 days, but its numbers decline slowly afterwards.
E. coli and other facultative anaerobes constitute about 0.1% of gut microbiota, and fecal–oral transmission is the major route through which pathogenic strains of the bacterium cause disease. Cells are able to survive outside the body for a limited amount of time, which makes them potential indicator organisms to test environmental samples for fecal contamination. A growing body of research, though, has examined environmentally persistent E. coli which can survive for many days and grow outside a host.
The bacterium can be grown and cultured easily and inexpensively in a laboratory setting, and has been intensively investigated for over 60 years. E. coli is a chemoheterotroph whose chemically defined medium must include a source of carbon and energy. E. coli is the most widely studied prokaryotic model organism, and an important species in the fields of biotechnology and microbiology, where it has served as the host organism for the majority of work with recombinant DNA. Under favorable conditions, it takes as little as 20 minutes to reproduce. (W)

Low-temperature electron micrograph of a cluster of E. coli bacteria, magnified 10,000 times. Each individual bacterium is oblong shaped.. |
|

Model of successive binary fission in E. coli.
Schematic diagram of the life cycle of Escherichia coli. Original caption During cell division, two new poles are formed, one in each of the progeny cells (new poles, shown in blue). The other ends of those cells were formed during a previous division (old poles, shown in red). (A) The number of divisions since each pole was formed is indicated by the number inside the pole. Using the number of divisions since the older pole of each cell was formed, it is possible to assign an age in divisions to that cell, as indicated. Similarly, cells that consecutively divided as a new pole are assigned a new pole age, based on the current, consecutive divisions as a new pole cell. (B) Time-lapse images of growing cells corresponding to the stages in (A). False color has been added to identify the poles.
|
|

A colony of E. coli growing.
False color time-lapse video of E. coli colony growing on microscope slide. See the source for detailed growth conditions. Technical: Adapted from https://doi.org/10.1371/journal.pbio.0030045.sv001 . Added approximate scale bar based on the approximate length of 2.0 μm of E. coli bacteria. The original video is comprised of 114 frames, the first 40 taken at 4min intervals, the remaining 74 taken at 2min intervals. For this animation the first 40 frames were duplicated to 80 frames making the total frame count 154 and the framerate a constant 1 frame per 2 minutes. |
|
|
|
|
eukaryote
Eukaryotes are organisms whose cells have a nucleus enclosed within membranes, unlike prokaryotes (Bacteria and Archaea), which have no membrane-bound organelles. Eukaryotes belong to the domain Eukaryota or Eukarya. Their name comes from the Greek εὖ (eu, "well" or "good") and κάρυον (karyon, "nut" or "kernel"). Eukaryotic cells typically contain other membrane-bound organelles such as mitochondria and the Golgi apparatus, and in addition, some cells of plants and algae contain chloroplasts. Unlike unicellular archaea and bacteria, eukaryotes may also be multicellular and include organisms consisting of many cell types forming different kinds of tissue. Animals and plants are the most familiar eukaryotes. (W)
Eukaryotic cells are typically much larger than those of prokaryotes, having a volume of around 10,000 times greater than the prokaryotic cell. (W) |

Phylogenetic and symbiogenetic tree of living organisms, showing a view of the origins of eukaryotes and prokaryotes |
|
| |
|
|

The endomembrane system and its components. |
|
| |
|
|

Structure of a typical plant cell.
|
|
|
|
|
extracellular fluid
Extracellular fluid (ECF) denotes all body fluid outside the cells of any multicellular organism. Total body water in healthy adults is about 60% (range 45 to 75%) of total body weight; women and the obese typically have a lower percentage than lean men. Extracellular fluid makes up about one-third of body fluid, the remaining two-thirds is intracellular fluid within cells. The main component of the extracellular fluid is the interstitial fluid that surrounds cells.
Extracellular fluid is the internal environment of all multicellular animals, and in those animals with a blood circulatory system, a proportion of this fluid is blood plasma. Plasma and interstitial fluid are the two components that make up at least 97% of the ECF. Lymph makes up a small percentage of the interstitial fluid. The remaining small portion of the ECF includes the transcellular fluid (about 2.5%). The ECF can also be seen as having two components – plasma and lymph as a delivery system, and interstitial fluid for water and solute exchange with the cells.
The extracellular fluid, in particular the interstitial fluid, constitutes the body's internal environment that bathes all of the cells in the body. The ECF composition is therefore crucial for their normal functions, and is maintained by a number of homeostatic mechanisms involving negative feedback. Homeostasis regulates, among others, the pH, sodium, potassium, and calcium concentrations in the ECF. The volume of body fluid, blood glucose, oxygen, and carbon dioxide levels are also tightly homeostatically maintained.
The volume of extracellular fluid in a young adult male of 70 kg (154 lbs) is 20% of body weight – about fourteen litres. Eleven litres is interstitial fluid and the remaining three litres is plasma.
(W)

Cell membrane details between extracellular and intracellular fluid.
The cell membrane, also called the plasma membrane or plasmalemma, is a semipermeable lipid bilayer common to all living cells. It contains a variety of biological molecules, primarily proteins and lipids, which are involved in a vast array of cellular processes. It also serves as the attachment point for both the intracellular cytoskeleton and, if present, the cell wall. |
|

Sodium-potassium pump and the diffusion between extracellular fluid and intracellular fluid. |
|

Differences in the concentrations of ions giving the membrane potential.. |
|

Formation of interstitial fluid from blood. |
|

Diagram showing the formation of lymph from interstitial fluid (labeled here as "Tissue fluid"). The tissue fluid is entering the blind ends of lymph capillaries (shown as deep green. |
|
|
|
|
extremophile
An extremophile (from Latin extremus meaning "extreme" and Greek philiā (φιλία) meaning "love") is an organism with optimal growth in environmental conditions considered extreme in that it is challenging for a carbon-based life form with water as a solvent, such as all life on Earth, to survive.
This is not the same as a more anthropocentric and non-scientific view which considers an extremophile to be an organism that lives in environments uncomfortable to humans. In contrast, organisms that live in more moderate environmental conditions, according to an anthropocentric view, may be termed mesophiles or neutrophiles. (W)
| The limits of known life on Earth. |
| Factor |
Environment / source |
Limits |
Examples |
| High temperature |
Submarine hydrothermal vents |
110 °C to 121 °C |
Pyrolobus fumarii, Pyrococcus furiosus |
| Low temperature |
Ice |
-20 °C to -25 °C |
Synechococcus lividus |
| Alkaline systems |
Soda lakes |
pH > 11 |
Psychrobacter, Vibrio, Arthrobacter, Natronobacterium |
| Acidic systems |
Volcanic springs, acid mine drainage |
pH -0.06 to 1.0 |
Bacillus, Clostridium paradoxum |
| Ionizing radiation |
Cosmic rays, X-rays, radioactive decay |
1,500 to 6,000 Gy |
Deinococcus radiodurans, Rubrobacter, Thermococcus gammatolerans |
| UV radiation |
Sunlight |
5,000 J/m2 |
Deinococcus radiodurans, Rubrobacter, Thermococcus gammatolerans |
| High pressure |
Mariana Trench |
1,100 bar |
Pyrococcus sp. |
| Salinity |
High salt concentration |
aw ~ 0.6 |
Halobacteriaceae, Dunaliella salina |
| Desiccation |
Atacama Desert (Chile), McMurdo Dry Valleys (Antarctica) |
~60% relative humidity |
Chroococcidiopsis |
| Deep crust |
accessed at some gold mines |
|
Halicephalobus mephisto, Mylonchulus brachyurus, unidentified arthropods |
|
|
|
|
extremotroph
An extremotroph (from Latin extremus meaning "extreme" and Greek troph (τροφ) meaning "food") is an organism that feeds on matter that is not typically considered to be food to most life on Earth. "These anthropocentric definitions that we make of extremophily and extremotrophy focus on a single environmental extreme but many extremophiles may fall into multiple categories, for example, organisms living inside hot rocks deep under the Earth's surface." (W) |
|
|